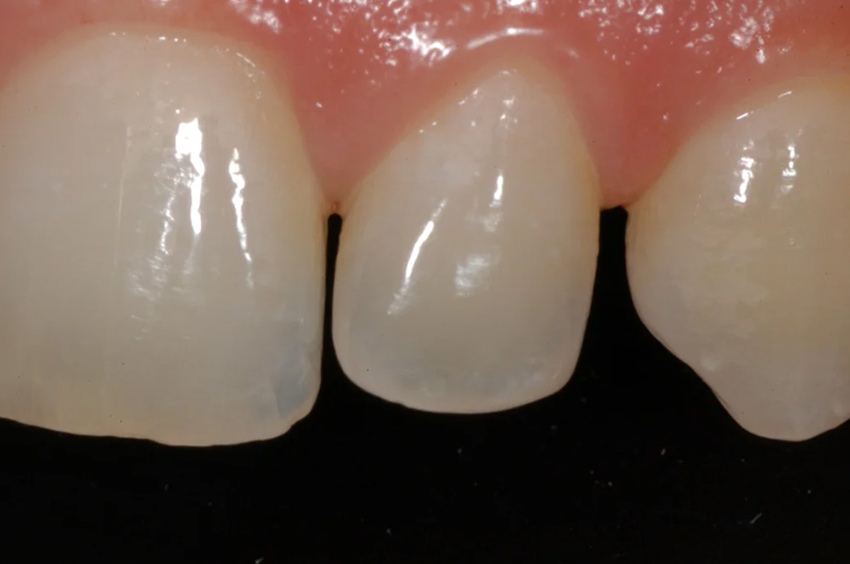
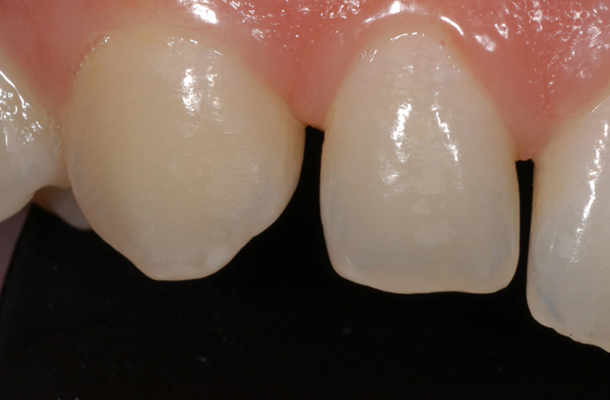
Building up front teeth with white filling material
The tooth is first etched with a mild acid before the filling material is bonded into position using a special glue (bonding agent) that bonds to tooth structure. Both the composite resin and bonding agent are perfectly safe, and no harm is caused to the enamel underneath.
The restorations are made from composite resin which cannot be bleached. If you are considering having your teeth bleached, we should do so before doing the build-ups, and matching the shade of the material to the rest of your teeth.
As most people grind their teeth in their sleep, the composite resin must be protected with either an orthodontic retainer or biteplate at night, to protect them from fracture during tooth-grinding.
Your teeth tend to change appearance as you get older (they become darker, wear, and develop small cracks). The composite resin does not undergo these changes, and the restorations then appear unnatural. Although the build-ups will still be functional, the appearance might not be to your liking anymore, and they would have to be replaced.
The life-span of the build-ups will depend on how well you clean your teeth and how you use the front teeth. Insufficient cleaning can lead to decay or discoloration on the margins where the composite resin meets the enamel. These can usually be polished a few times before the restoration has to be replaced. You will be instructed on how to clean carefully, and you would need to attend regular review appointments with both our oral hygienist and myself.
No dental restoration is ever as strong as healthy natural enamel. You would therefore have to be more careful on how you use the front teeth. Biting into a sandwich shouldn’t be a problem, but biting into a tough chewy baguette might dislodge a restoration. Biting foreign objects like fingernails, bottle tops, glue caps, fishing line, electrical wires or tearing open cellophane wrapping will also cause breakdown of the restorations. Fortunately they can be replaced fairly easily.
Provided these tooth coloured fillings are well maintained and not abused, they can last anything from 5 to 10 years, depending on the size of the restoration, and how much tooth structure it replaces. The larger the restoration, the shorter the life span, and for larger restorations, a crown should be considered to fully restore the tooth to its original shape and function, and to protect it from fracture.
Composite can be used for White fillings and Bonding:
White fillings
Many patients are concerned about the mercury contained in this amalgam filling material, not to mention the copper, zinc and silver. These metals are potentially harmful both to the patient and the environment, apart from their unsightly appearance. We offer the replacement of amalgam fillings with tooth-colored composite resin fillings, or laboratory-manufactured porcelain inlays.
Composite fillings are more durable than ever and can last many years. Matched perfectly to the natural teeth, they are practically invisible in a smile.
Composite bonding
We can apply the same techniques used in creating composite fillings and help repair any teeth that have chips or cracks. Composite bonding can help restore confidence and restore a smile to its full and perfect glory.





