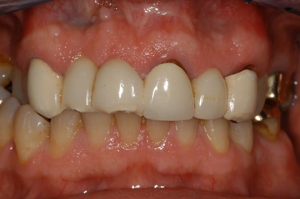
Crowns (Caps)
Crowns are restorations that cover or cap teeth, restoring them to their natural size, shape, and colour. They are used to cover a damaged tooth and protect it from further breakdown. Even a poorly maintained or badly damaged tooth can benefit from a well-designed and correctly placed crown. This crown not only improves the appearance of the tooth, but can also save a tooth that might otherwise be lost.
Crowns strengthen and protect the remaining tooth structure and can improve the appearance of your smile. While it is recommended that a tooth should be crowned after root canal treatment, it is not always necessary to do root canal treatment before fitting a crown.
With modern technology, crowns can be made so that they give you the strength, beauty and feel of a natural tooth. They can be made from gold or porcelain or a combination of the two.
Fitting a crown requires at least two visits to the dental surgery. During the first visit the decay is removed, the tooth is prepared (shaped) to accommodate the crown. The damaged natural tooth is reduced in size so the crown can cover the damaged area without appearing too large or out of place. An impression is taken of the tooth and a temporary crown is fitted afterwards.
In a subsequent visit, the temporary crown is removed, the permanent crown is fitted and adjusted, and then cemented in place.
Bridges
Few incidents have greater impact on dental health and personal appearance than the loss of a tooth. When one or more teeth are missing, the remaining teeth can drift out of position, which can lead to a change in the bite, the loss of additional teeth, decay and gum disease.
When tooth loss occurs, we may recommend the placement of a bridge. A bridge is one or more replacement teeth anchored by one or more crowns on each side. This replacement tooth “bridges” the gap between your teeth and restores function while improving appearance.
The main function of a bridge is to provide stability for your bite if there are missing teeth. When a tooth is lost, the surrounding teeth shift and collapse into the empty space. Without a bridge, the resulting misalignment of the teeth can cause instability and stress to the Temporomandibular joints and muscles.
Bridges can be made from ceramics or reinforced with gold for strength. Bridges, unlike dentures, can only be removed by a dentist.
More information on Crowns & Bridges Metal Free Adhesive Bridges





