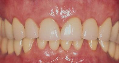
Full Mouth Reconstruction combines various advanced dental techniques such as crowns, veneers, bridges, dentures, implants, gum surgery, and root canal treatments, to give the optimum result of health, function and beauty.
This is necessary when the teeth are severely broken down or a number of teeth are missing, causing problems in both the bite and appearance of the smile. As we age, our teeth wear down, discolour, crowd and chip. With excessive wear, the occlusion (how the teeth come together) adversely changes, often resulting in various TMJ (Temporo-Mandibular Joints) pain symptoms.
Reconstructing your entire bite to its natural state can eliminate many of these pain symptoms while providing you with a new, brighter, straighter, healthier smile that can take years off your appearance and increase your self-esteem and confidence. Full Mouth Reconstruction combines various advanced dental techniques such as crowns, veneers, bridges, dentures, implants, gum surgery, and root canal treatments, to give you the optimum result of health, function and beauty.



