What are receding gums?
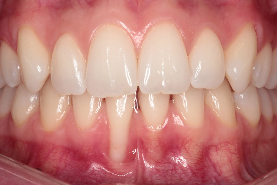
Receding gums (also known as gingival recession) is a common dental condition where the gum tissue surrounding the teeth wears away or pulls back, exposing more of the tooth or its root. This results in the teeth appearing longer and, in severe cases, leading to sensitivity and increased vulnerability to tooth decay. Receding gums can occur gradually, and many people may not notice the condition until it becomes more advanced.
Need help managing the cost of your treatment?
Speak to us about spreading your payments.
Contact Us
Why do I have receding gums?
Several factors contribute to gum recessions:
One primary cause is periodontal disease, an infection that affects the supporting structures of the teeth. Poor oral hygiene practices, such as inadequate brushing and flossing, can lead to the buildup of plaque and tartar, which cause gum disease and recession.
Aggressive tooth brushing, clenching, or grinding of teeth, and misaligned teeth can also contribute to gum recessions.
Other factors that may increase the risk of receding gums include genetic predisposition, hormonal changes (such as those occurring during pregnancy or menopause), tobacco use, and certain medical conditions.
What causes gum recession?
- Periodontal disease – Erodes the jawbone around teeth with subsequent gum recessions
- Abnormal tooth position – Teeth that stand out are often not protected by jawbone on the outside and are vulnerable to gums receding
- Hereditary thin, fragile or insufficient gum tissue – Vulnerable to trauma, wear & tear and subsequent gum recessions
- Overaggressive brushing – Scrubbing that wears away the gum
- Eating disorders from self-induced vomiting – Acid erosion eating away at teeth and gums
- Grinding of the teeth (bruxism) – Damages the teeth and supporting jawbone with subsequent gum recessions
- Piercings in the lip or tongue – Traumatising the gum
- Incorrect orthodontic movement of teeth – Pushing the teeth out of the supporting jawbone
How are gum recessions treated?
Preventing and treating gum recessions involve maintaining good oral hygiene practices, including regular brushing, flossing, and professional dental cleanings. Addressing contributing factors like teeth grinding may involve the use of mouth-guards. In more advanced cases, a periodontist (a specialist in the treatment of gum-related issues) may recommend procedures such as gum grafting. This involves taking tissue from another part of the mouth or using donor tissue to cover exposed tooth roots, helping to reduce sensitivity and improve the appearance of the gums.
Early detection and intervention are crucial in managing receding gums. Individuals who notice signs of gum recession, such as tooth sensitivity, changes in tooth appearance, or exposed roots, should consult with their dentist for a thorough examination and appropriate treatment recommendations.
Contact us today for more information
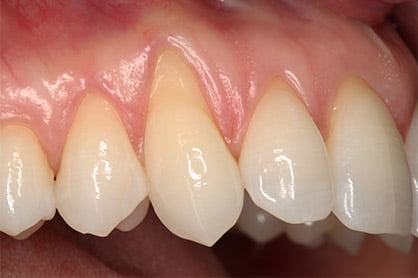
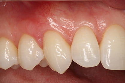
Treating receding gums at Goossens & Odendaal
We start your treatment by addressing the problem/s which caused the gum recession/s i.e. treating gum infection, correcting tooth position, correcting wrong brushing techniques etc.
We then treat the issue by repositioning the gums (“pulling the gums up”) and/or using gum grafts. Gum grafts are done with the patient’s own tissue (taking gum from the roof of the mouth) or by using a gum substitute like AlloDerm®.
What are the benefits of treating gum recessions?
Restoring lost gum tissue can reduce further recession and bone loss, cover exposed tooth roots (to protect them from decay), reduce tooth sensitivity and improves the appearance of a smile.
No matter if treatment is needed to improve function or aesthetics, you’ll receive the benefits of both: improved periodontal health and an improved smile. Both are key to smiling, eating and speaking with comfort and confidence.
FAQs
Yes, in many cases gum recessions can be fixed. Firstly, by treating gum disease, which is one of the main reasons why gums recede. Secondly, by performing gum grafts. It is important to note though that some gum recessions can only be “fixed” by providing restorations such as white fillings, veneers or crowns.
If you want to find out if you have gum recessions or think that you have receding gums, the first thing to do is book an appointment to see your dentist or arrange an appointment with a specialist periodontist.
Receding gums cannot simply be “pushed back”, and neither will gum that has receded spontaneously grow back.
Gum recessions is most commonly treated with gum grafts., which involves removing a bit of tissue from the roof of your mouth and transplanting it to the area of recession.
It depends on what has caused the recessions. Arrange a consultation with your periodontist. He/she will determine the cause of the gum recession/s and advise you accordingly.
As with most things in life, “prevention is better than cure”. Gum disease (gingivitis and periodontitis) can be prevented by looking after your teeth and gums. This means adopting good habits in oral hygiene and getting regular professional check-ups (at least once a year).
Gum infection (gingivitis) will not develop if there is no bacterial plaque on the teeth, and periodontitis will not develop if there is no gingivitis. Continuous good oral hygiene at home, the regular removal of tartar at your dental practice, and addressing risk factors (such as smoking, diabetes, stress and poor diet) are the key steps to preventing periodontitis.
With careful professional assessment and treatment, it is usually possible to completely halt the progress of periodontitis. The key to success is eliminating the bacterial plaque that triggers the disease process and establishing excellent oral-hygiene practices.
Whilst not everyone’s gums recede as they age, it does become more common. This is because the risk factors associated with gum recessions increase as we get older.
A study of about 10,000 people found that frequency & severity receding gums seem to increase with age.
The study found that from age 30-39, about 38% of individuals had receding gums. This increased to 71% for people aged 50-59, and was found in more than 90% for people age 80-89.
Initially, women had much lower rates of receding gums, but by age 40, the rates become about the same. We’re not sure if this is related to different oral health care habits during youth or other factors.
Receding gums also tend to be more serious with age. From age 30-39, only about 10% of those with receding gums have more than 4 mm of recession, but this increases to 24% by age 50-59, and 35% by age 70-79.


 

 

 

