Are you searching for a dentist in Hornchurch & Romford for root canal treatment? At Goossens & Odendaal, we provide high-quality endodontic treatment designed to save your natural tooth, alleviate pain, and clear infection. Root canal treatment is a reliable, long-lasting solution to preserve your oral health and wellbeing.
We’re committed to providing exceptional, personalised care every step of the way, ensuring your comfort and satisfaction are our top priorities throughout your root canal procedure.
Book your root canal consultation
Understanding root canal treatment
Root canal treatment is carried out when the pulp (also called the nerve) inside a tooth is either inflamed or dead. This area of dentistry is often referred to as endodontics or endodontic treatment.
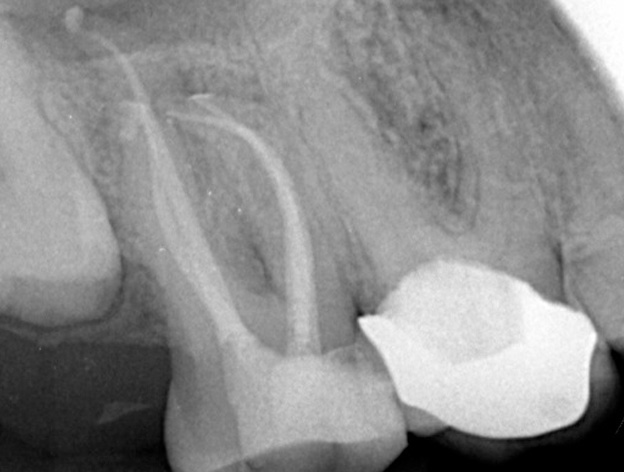
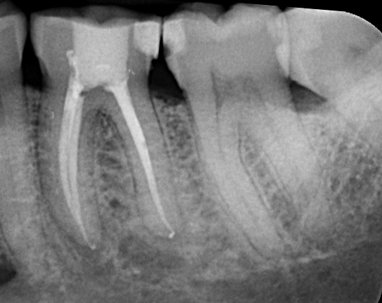
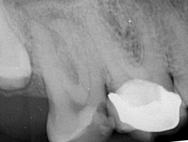
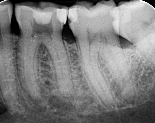
The purpose of the root canal procedure is to remove the inflamed tissue or bacteria inside the root canal and thus allow the supporting tissues to heal. After cleaning the root canal system, the space created is filled with a root filling, using a rubber material called gutta-percha.
Book your root canal consultation in Hornchurch and Romford
Signs you may need root canal treatment
You may need root canal treatment if the pulp becomes inflamed or dies due to significant decay, a large restoration (filling or crown), or trauma. When the pulp dies, the tooth root system rapidly becomes infected with bacteria, resulting in an infected pulp.
- Pain or no pain: An inflamed pulp usually causes a noticeable toothache while a chronic infection may often be be pain-free.
- Infection/abscess: When the root canal becomes infected, this may cause pain and swelling in the supporting tissues, which is known as an abscess.
- Cause: The need for treatment is often caused by significant decay, a large filling or crown, or trauma to the tooth.
Contact us to learn more about our services in Hornchurch & Romford
Experience the benefits of root canal treatment
Root canal treatment offers a range of significant benefits for patients with a painful or infected tooth, allowing you to save your natural tooth from extraction. Ultimately, this treatment is an investment in your long-term oral health and is:
- Effective: The treatment relieves pain caused by the inflamed or infected pulp by removing the tissue or bacteria inside the root canal system.
- Preservative: It allows you to save the natural tooth from extraction, maintaining your natural bite and appearance.
- Healing: The procedure allows the surrounding supporting tissues to heal following the root canal procedure, promoting better oral health by clearing the infection.
- Protective: Preserves the natural tooth structure through endodontic treatment, avoiding the need for a bridge or implant (though a crown is usually required post-treatment).
Hear what our patients say
Read testimonials from our current patients and see why we have such a strong reputation. We’re committed to continuous improvement based on their feedback.
We are extremely pleased with the result; the level of professionalism and care has been amazing from the beginning and all through the treatment. It took a less time than we expected. Thank you and keep doing what you are doing, it makes people happy – Andrea
Thank you so much for giving me the perfect smile and teeth I have always wanted. I shall recommend your excellent work on to my friends. – Eillien
Why choose Goossens & Odendaal for your root canal treatment?
When it comes to intricate dental work, expertise matters. Our commitment to patient-care ensures a predictable and successful outcome for saving your tooth. In addition:
- We have invested in state-of-the-art equipment to ensure your comfort throughout treatment.
- We create personalised treatment plans to suit your needs and fit in with your lifestyle.
- Our dentists have post-graduate qualifications and are experienced in providing root canal treatment.
Meet the dentist behind your root canal treatment:
Dr Inus Goossens: During his four years of post-graduate studies Inus underwent advanced training in endodontics, including microscopic endodontics and re-treatments. Although he is not on the specialist register for endodontics, he accepts referrals for root canal treatments from colleagues.
Dr Haseeb Abbasi is our dentist who limits his practice to endodontics. He has a masters degree in endodontics and the focused expertise to ensure you receive the highest standard of care for your root canal treatment.
Meet Dr Abbasi Meet Dr Goossens
What to expect during your root canal procedure
Endodontic treatment is complex and requires skill. However, the root canal procedure can be performed with little or no discomfort using modern local anaesthetic techniques.
Step 1: Consultation & Anaesthetic We conduct a thorough evaluation of your tooth and surrounding tissue. Modern local anaesthetic techniques are used to ensure the procedure is performed with little or no discomfort.
Step 2: Cleaning the Root Canal System Our dentist carefully cleans and shapes the root canal system to remove all inflamed tissue and bacteria. The time required depends on the complexity and number of canals in the tooth root.
Step 3: Filling and Sealing Once cleaned, the root canal system is filled with a root filling, typically using a rubber material called gutta-percha. For cases with long-standing infection, anti-bacterial medicaments may be placed inside the canals between visits to kill any remaining bacteria, sealed by a temporary filling for about one week.
Contact our Hornchurch & Romford dental clinic
Aftercare and recovery tips
Following the root canal procedure, it is normal to experience some tenderness as the supporting tissues of the tooth root may be affected temporarily.
- Initial Tenderness: The tooth may be slightly tender or sore for a few days. Some teeth may take a few months to settle completely.
- Protection is Key: Once the tooth has settled down following the endodontic treatment, a crown should be placed to protect the remaining tooth structure from fracture. This is necessary to ensure the longevity of the tooth.
Book your root canal consultation today!
FAQs
The success rate of first-time root canal treatments is over 90%. When an existing root treatment needs redoing because it has failed, the success rate is reduced to about 80%.
Signs include an inflamed pulp that may cause a toothache, or a dead pulp where the root canal becomes rapidly infected with bacteria. This infection may cause pain and swelling in the supporting tissues (an abscess) or the tooth may remain symptom-free. The need for treatment is often caused by significant decay, a large restoration (filling or crown), or trauma to the tooth.
Root canal treatment can be necessary when there is significant decay in a tooth or if the tooth has been subjected to trauma. Dr Haseeb Abbasi, will be able to determine whether treatment is suitable after a thorough examination.
Once the root-treated tooth has settled down completely, a crown should be placed to protect the remaining tooth structure from fracture. This protective crown is necessary to ensure the longevity of the tooth, which can then last for many years.
Yes, the primary purpose of root canal treatment is to remove the inflamed tissue or bacteria inside the root canal, thus allowing the surrounding tissues to heal and saving the tooth from extraction.
The area around the tooth may be slightly tender and sore for a little while, but after the affected area has healed, your ability to eat and drink without discomfort will return to normal.




