Fixed Teeth Today
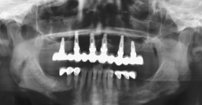
Following improvements to the surfaces of our implants, and utilising experience gained over many years, we can now offer you “FIXED TEETH TODAY”. In most cases, we are able to place a fixed bridge onto the implants immediately after placement. You would therefore arrive at the surgery with loose dentures, and leave with a number of implants placed and a FIXED bridge fitted onto them. This concept reduces the discomfort and healing time following implant placement, and provides immediate satisfaction to our patients. Imagine being able to bite into an apple again for the first time in many years!
A few teeth missing
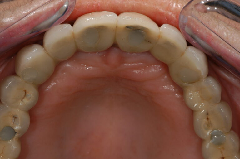
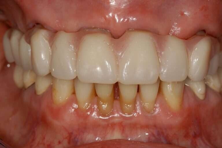
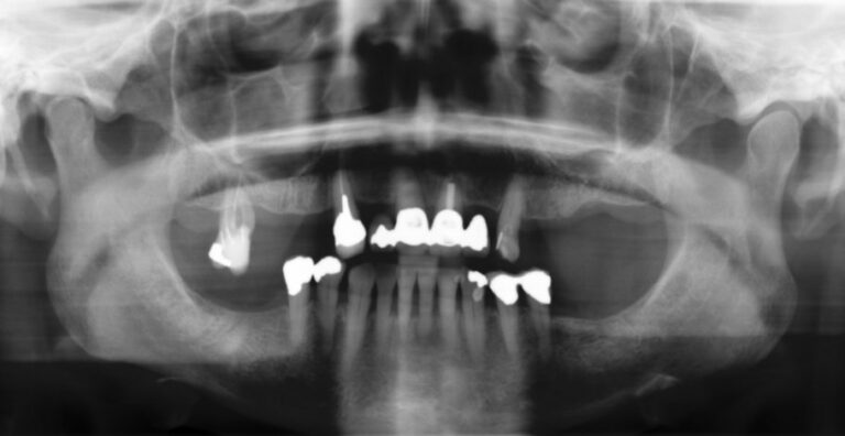
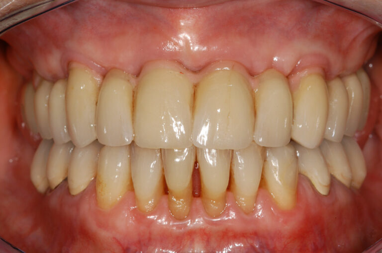
The most common cause of partial tooth loss is failing crowns or bridges. The natural roots are then too weak to support a bridge, and have to be extracted. We would usually extract the failing roots, place implants directly into their sockets, and place a fixed bridge immediately afterwards.


