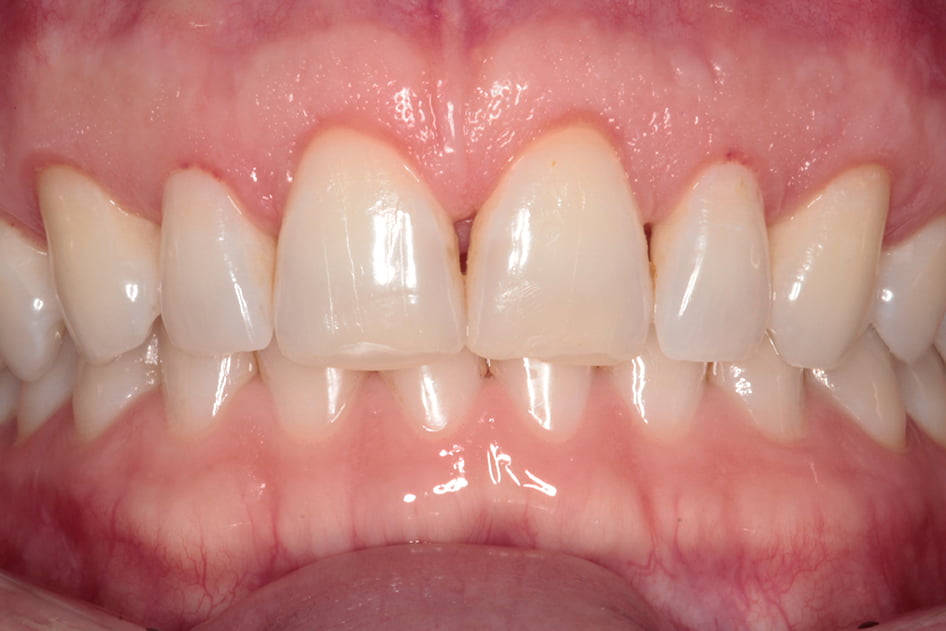
Why do I have a ‘gummy’ smile?
A gummy smile (also known as excessive gingival display) occurs when a significant portion of the upper gums are shown when a person smiles. This condition can be attributed to various factors, including genetics, hyperactive upper lip muscles, improper tooth eruption, or gums that have overgrown the teeth. Individuals with gummy smiles often feel self-conscious about their appearance and seek help to enhance their smile.
Need help managing the cost of your treatment?
Speak to us about spreading your payments.
Contact Us
How to treat a ‘gummy’ smile?
The treatment of gummy smiles typically involves a collaboration between a general dentist and a periodontist. The specific approach to correction depends on the underlying cause of the gummy smile.
The most common method to correct gummy smiles is by performing crown lengthening (a dental procedure performed by a periodontist). Crown lengthening involves removing excess gum tissue to expose more of the tooth, resulting in a more balanced and aesthetically pleasing smile. The procedure may also involve reshaping the underlying bone if necessary. Crown lengthening is often a straightforward and effective solution for cases where excessive gum tissue contributes to the gummy appearance.
In some instances, orthodontic treatment may be recommended to reposition the teeth and optimise their alignment, thus helping to reduce the visibility of excessive gum tissue. Sometimes, Botox injections may be considered for cases where hyperactive upper lip muscles are contributing to the gummy smile. Botox can temporarily relax the muscles, resulting in less gum exposure when smiling.
It’s important for individuals concerned about their gummy smiles to consult with us for a thorough examination and personalised treatment plan. The chosen corrective approach will depend on the specific factors that are contributing to the gummy smile. A collaborative effort between dental professionals can lead to a more confident and improved smile.
Find Out More
If you would like us to treat your ‘gummy’ smile – contact us to find out more.
Contact Us
Treating your ‘gummy’ smile at Goossens & Odendaal
There is no one better placed to create a perfect gum line than a periodontist. The same tools we use to replace missing gum tissue can be applied in gum contouring.
Gum tissue can grow over the tooth surface for a number of reasons, making the teeth appear too short. The most common reasons for a gummy smile are genetics, hyperactive upper lip muscles, improper tooth eruption, or gums that have overgrown the teeth.
Gingivectomy is the procedure used to remove excess tissue. Our Zeiss Pico Dental Microscope allows us to make minute incisions that would otherwise be difficult.
We can also use gum surgery to improve the appearance of natural gum tissue. If your gums are misshapen, you may need them trimmed and grafted to create an even line.
For more information
FAQs
Gummy smile, also known as excessive gingival display, is a smile that shows an excessive amount of gum below the upper lip. A smile with more than 2 millimetres of gum showing is termed a “gummy smile”.
Some people may have a “gummy” smile because their teeth appear short. In fact, their teeth may actually be the proper length, but they’re covered with too much gum tissue. To correct this, your periodontist performs a dental crown lengthening procedure.
During the dental crown lengthening procedure, excess gum (and sometimes bone tissue) is removed to expose more of the crown of the tooth/teeth. This can be done to one tooth, to even your gum line, or to several teeth to expose a natural, broad smile.
There are several causes of gummy smiles, including:
- Altered eruption of the teeth during childhood
- Downward movement of the upper teeth or excessive growth of the upper jawbone
- Short or overactive upper lip muscles
Gummy smiles are quite common. They are found in 10% to 29% of the population and are more common in females.




