Google review
logo
Arrange a referral

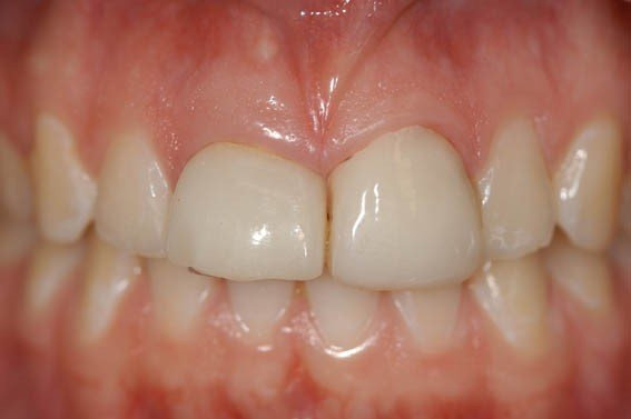
Gallery - Veneers

Case 1

Before After
Click here to make a referral online

    Practice Details

    • Have you referred to us before?


  • Patient Details


  • Referral Details

    • Has the patient been given an indication of our fees?

  • Treatment Required:

    • Prosthodontics

    • Periodontics

    • Dental Implants

    • CT-scan - Small area

      (please indicate area of interest)

    • Orthodontics

  • I’d like to be informed of exclusive offers and other practice information YES

    *By clicking ‘send’ you are consenting to us replying, and storing your details. (see our privacy policy).
Practice Address: 140 – 142 North Street Hornchurch Essex RM11 1SU
Opening Hours:
Monday - Thursday 08.30-17.00
Friday 8.30-16.00

Email: godental140@gmail.com Phone: 01708 459445